If you are someone who wants to improve their smile, because you are tired of corked and discoloration of your teeth then you need to visit Porcelain Veneers Houston TX. Dental laminates and dental veneers, two are of the most popular and common procedures for improving the overall appearance of someone's smile.

Visiting a Dental Veneers Dentist Near Me will help you gather information about the two dental procedures mentioned above that help you enhance your smile. If you want to know more about these two make sure to read the article till the end.
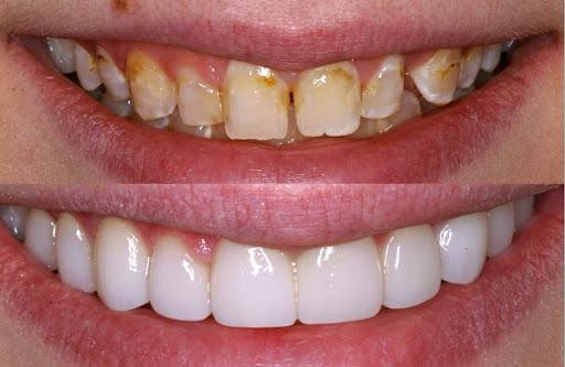
Dental veneers are extra thin, tooth-colored covers that are placed on the shell of your teeth for enhancing the appearance and offering patients a beautiful smile. The procedure of Veneer For Crooked Teeth requires a minor intrusive and a small amount of enamel removal.
Dental laminates are exactly like dental veneers but the major difference between these two is that Laminates are much thinner and require the least amount of enamel to be removed for them to be placed. There are many people who are looking for Dental Veneers for Tooth Gaps, if you are one of them do check our website for furthermore.
Many of you must have heard that dental veneers are made of two materials which are porcelain and composite fillings. The composite veneers are prone to staining which makes them least common between patients, but these veneers are less expensive than porcelain veneers and don’t require much preemption work on natural teeth to place them.
Porcelain veneers are more expensive than composite veneers and most importantly for place porcelain veneers, it is mandatory to remove the enamel. Porcelain veneers can last 10-15 years. Porcelain Veneers Near me require the removal of some of the enamel on the teeth and the reshaping of the tooth which can lead to tooth decay because the enamel is the source of protection for your natural teeth.
Dental laminates perform the same function and offer exact benefits as dental veneers but they are known as advanced versions of porcelain veneers. Hence the reason why they are in demand and which makes them different is, placing laminates over your teeth doesn’t require alteration of your enamel and tooth structure. This leads them to long-lasting for the health of the tooth, getting laminates still has its disadvantages. Dental laminates are extra thinner than porcelain veneers which makes them expensive. But these laminates can be heavy on the teeth when they are fixed without altering the tooth. Most people choose dental veneers for straight teeth but you can also choose laminates for teeth straightening for minor gaps, but first, you need to consult a dentist for that.

The decision of which dental procedure you should get lies in your and your dentist’s hand.
Both dental veneers and dental laminates are great options for smile enhancement, so it is all up to the patient’s needs and varies on the amount of cost a person can invest. Visit your orthodontist that is going to perform dental veneers and ask each detail about both of these procedures in depth.
We hope you liked this article if you want to know more about Veneers Before And After results and any other dental procedures make sure to visit our website and gather all useful information for your oral hygiene.
Article Source : https://www.shoutarticle.com/what-is-the-difference-between-dental-veneers-and-laminates/
.